頸椎椎間板ヘルニア
院長の雑談 2009.09.20
主治医の先生の紹介で来院されたダックスのリリーちゃん、首に強い痛みがあるということでCTによる精密検査を希望されて来院されました。
リリーちゃんは、首が痛くて、動く度にギャンギャンないたり、食事もほとんど取ることができず、とてもかわいそうな状態でした。
CTの検査をおこなうと、頸椎の第2ー3番の間に重度の椎間板の脱出があり、頚椎椎間板ヘルニアと診断しました。
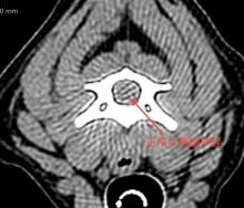
横の画像が正常の頸椎のCT画像です。下の写真に比べてもらうと、脊髄神経がはっきり見えるのがよく分かると思います。
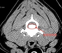
次に、横の画像がリリーちゃんの圧迫を受けている頸椎のCT画像です。上の写真に比べると、下側から、大量の椎間板物質に圧迫されているのがよくわかりますよね。
縦に切ったCT画像で見ると(左側が頭側で、背骨を薪を割るようなイメージで切った画像です。こういう風に、見たい方向で見れるのがCTのいいところですね)、右の矢印の部分だけ、下から白い椎間板物質で圧迫されているのがよくわかると思います。
リリーちゃんの飼い主さんは、痛みが強くてこのままではかわいそうという事で、積極的な治療を希望されました。
主治医の先生と連絡を取り、先生の立ち会いの下ベントラルスロットという手術を行いました。
ベントラルスロットはのどの側から切開を開始し、気管や食道、神経などをよけ、腹側(のどの方向)から背骨にアプローチして、背骨をドリルで削り、椎間板物質を取り出す手術で、術後の痛みが少ない点などから、早期の頚椎椎間板ヘルニアに適応される手術です。
術後比較的早期にリリーちゃんは痛みがなくなり、吠えすぎて看護士のみんなを困らせるほど回復しました。
そして、術後5日目の今日、無事退院となりました。
お母さんに会えて、うれしかったのでしょう。リリーちゃんはお母さんに飛びついていきました。首が痛いときにはできなかったことです。
痛みが取れて、本当によかったね(^.^)









