椎間板ヘルニア
2009.08.13
急に後ろ足が動かなくなって、おしっこが垂れ流しになったということで来院されたシーズーのモモちゃん。神経学的検査と症状から椎間板ヘルニアが疑われました。
実はモモちゃんは、ALOHAが開院した日に近くの先生の紹介で電話を頂いたのですが、その時はまだCTが稼働していなかったため、来院を遅らせて頂いていました(その間は紹介元の先生のところで内科療法をしてもらっていました)。
モモちゃんの飼い主さんにはお盆明けの検査をお話ししていたのですが、診察で歩けないモモちゃんを見ると、少しでも早く良くしてあげたいという気持ちになり、スタッフに無理を言って、昨日の夜、CT検査と手術を行いました。
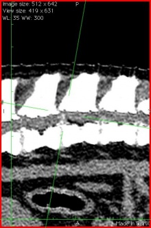
神経学的検査である程度異常が疑われる場所を特定しておいて、それをCTで確認します。思った通りの場所に椎間板の脱出が見られ、手術で大量の椎間板物質を摘出しました。手術はうまくいきましたから、たぶん歩けるようになってくれると思います。
数日は痛みをおさえる治療をおこないますが、その後リハビリが始まります。また経過を報告しますね。









